ClickCease

Invisalign Mandibular Advancement System: Early Jaw Correction for Growing Smiles

Early orthodontic treatment can have a lasting impact on your child’s bite, jaw development, and facial balance. The Invisalign Mandibular Advancement System is a modern solution for children with developing overbites, offering a comfortable and discreet alternative to traditional functional appliances.

At Dental at Keys, we provide advanced early orthodontic intervention to guide jaw growth and reduce the need for complex treatment later in life.

What Is Invisalign Mandibular Advancement?

This treatment is most effective for growing children aged 9 to 14, when jaw growth is still active.

Your child may benefit if they have:

  • A noticeable overbite

  • A small or retrusive lower jaw

  • Difficulty biting or chewing

  • Crowded or misaligned teeth

  • Early signs of jaw imbalance

Treating these issues early can reduce treatment time later and lower the risk of extractions or jaw surgery.

How Does It Work?

Invisalign Mandibular Advancement works in two ways at the same time:

Jaw Advancement

Special features in the aligners guide the lower jaw forward in small, controlled steps, encouraging healthier jaw growth. This is known as functional therapy.

Teeth Straightening

At the same time, the aligners gradually move the teeth into better alignment.

This dual approach makes it an efficient option for Class II early treatment.

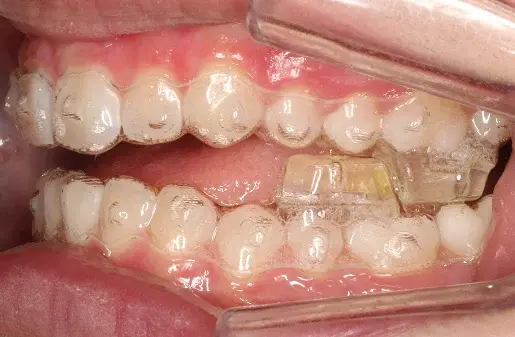
Teeth With Occlusal Blocks

Invisalign Mandibular Advancement with Occlusal Blocks (MAOB)

There is now a new version of Invisalign Mandibular Advancement that includes occlusal blocks, similar in concept to a traditional Twin Block functional appliance.

These occlusal blocks are built into the aligners and sit between the upper and lower teeth. They help to:

  • Hold the lower jaw in a forward position more effectively

  • Improve control of jaw posture during growth

  • Provide better vertical bite management

  • Increase stability during treatment

This design offers the biomechanics of a Twin Block appliance with the benefits of clear aligner therapy, making it an excellent Twin Block alternative for suitable patients.

If you are concerned about your child’s overbite or jaw growth, early advice is invaluable. The Invisalign Mandibular Advancement System, including the newer occlusal block design, offers a modern and effective approach to early jaw correction. Contact Dental at Keys today to book an orthodontic assessment and learn more about Invisalign for children.

Frequently Asked Questions

Faq Img
Key Benefits

Whether using the standard or occlusal block version, Invisalign Mandibular Advancement offers:

  • Clear, discreet aligners for better confidence

  • Improved comfort compared to bulky appliances

  • Removable design for easy cleaning and eating

  • Digital treatment planning for accuracy and predictability

  • Simultaneous jaw correction and teeth straightening

Early functional treatment can improve facial balance, bite function, and long-term orthodontic stability.

At Dental at Keys, treatment begins with a detailed orthodontic assessment, including:

  • Digital 3D scans

  • Bite and jaw evaluation

  • Growth analysis

If suitable, a personalised treatment plan is created. Most children wear a series of aligners for 12 to 18 months, with regular reviews to monitor growth and progress.

Our team provides modern early orthodontic solutions tailored to each child’s growth pattern. We focus on:

  • Child-friendly care

  • Advanced digital technology

  • Individualised functional orthodontic planning

  • Long-term oral health outcomes

Early assessment can make a lifelong difference in jaw development and smile confidence.