ClickCease

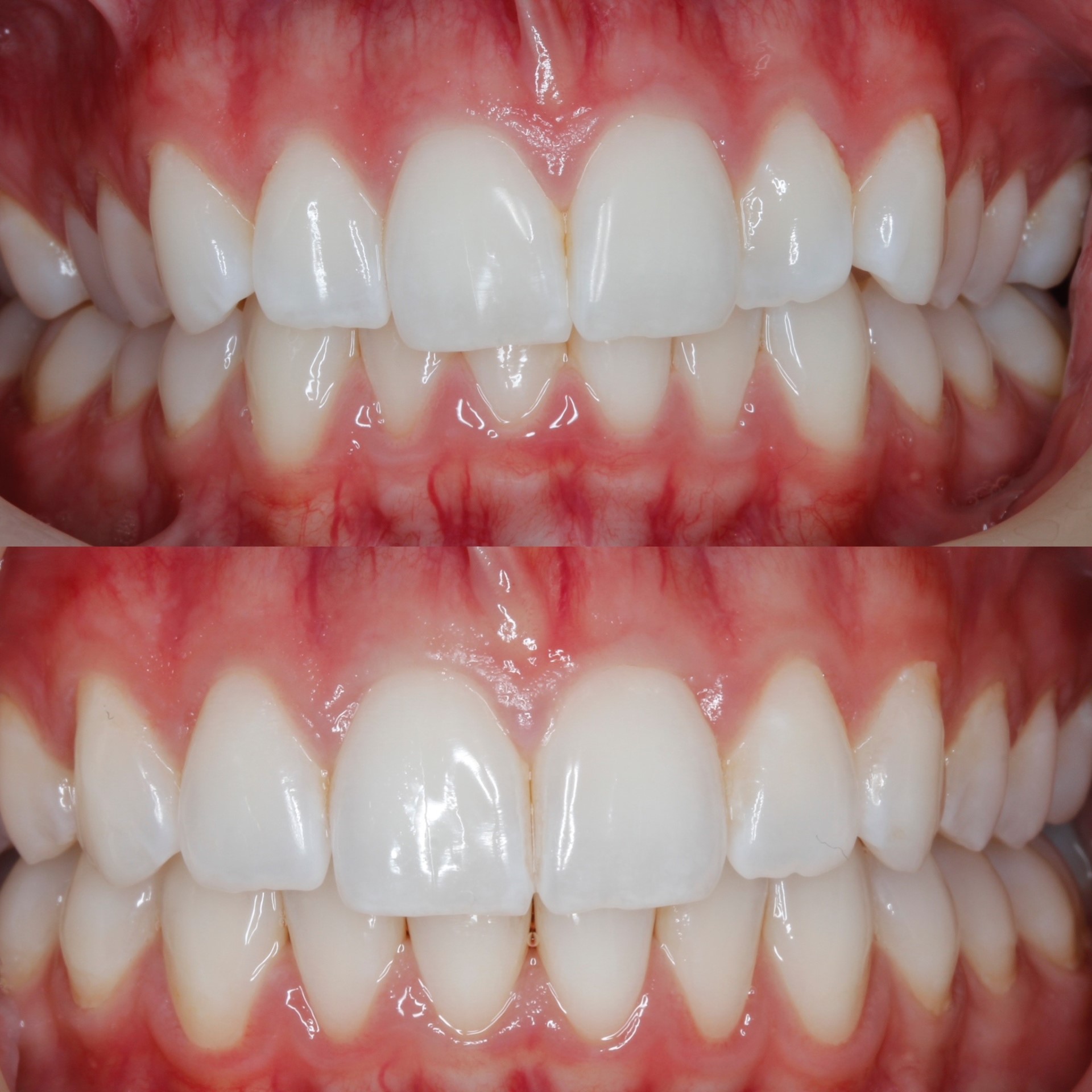
Optimal Invisalign outcomes often require space for controlled tooth movement.

▫️In this case, removing a lower incisor allowed us to correct the bite and achieve ideal alignment.

With precise planning, we —

✅ Reduced crowding 

✅ Created a balanced, natural looking smile that fits the patient perfectly ✨

▫️If you’re considering straighter teeth, a personalised Invisalign assessment can show you exactly what’s possible for your smile.

Start your smile transformation today. 

— 

📞 8899 6331

🌐 https://www.dentalatkeys.com.au

📧 info@dentalatkeys.com.au

🏡 211-215 Chapel Rd, Keysborough 3173

 

**Results may vary between individuals. The before and after images shown represent the real results of actual patients treated at Dental at Keys. These images are for educational purposes and do not constitute a guarantee of a particular outcome. Any surgical or invasive procedure carries risks. Before proceeding, you should seek a second opinion from an appropriately qualified health practitioner and have a consultation to discuss your specific needs and potential risks.

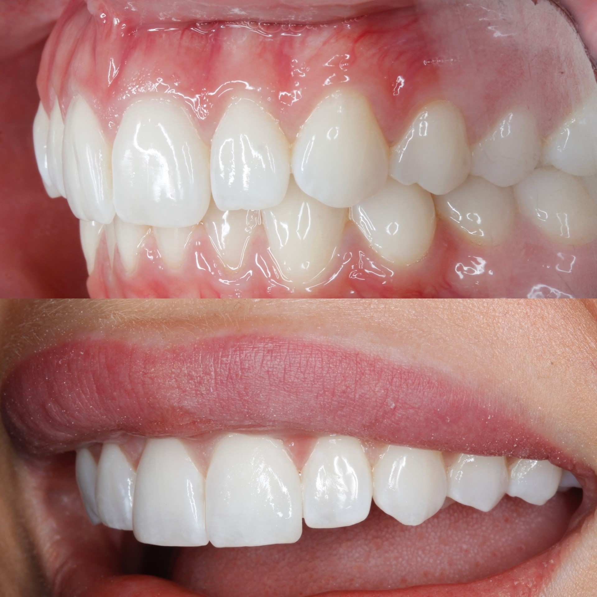
Transformations that tell their own story. ✨

We guided our lovely patient through a tailored orthodontic journey, refining each stage with care to uncover their best smile.

📌 Treatment Overview

✅ Invisalign clear aligners

Thinking about starting your own smile journey? We’re here to help.

📞 8899 6331

🌐 dentalatkeys.com.au

📧 info@dentalatkeys.com.au

🏡 211–215 Chapel Rd, Keysborough 3173

**Results may vary between individuals. The before and after images shown represent the real results of actual patients treated at Dental at Keys. These images are for educational purposes and do not constitute a guarantee of a particular outcome. Any surgical or invasive procedure carries risks. Before proceeding, you should seek a second opinion from an appropriately qualified health practitioner and have a consultation to discuss your specific needs and potential risks.

Why routine dental X-rays are essential! 🦷

▫️ This OPG highlighting the Lower Right Quadrant (48) shows exactly why X-rays are a crucial part of your dental care.

▫️ Some issues such as hidden lesions or pathology can develop long before any pain is felt and are only detectable with imaging.

Routine X-rays help us:

✅ Detect cavities between teeth before discomfort appears

✅ Monitor tooth and jaw development for proper alignment

✅ Spot early signs of gum or bone changes

✅ Identify hidden lesions or pathology requiring urgent attention

▫️Think of X-rays as a window into the hidden parts of your smile, without them, problems may go unnoticed until they become serious. 👀

Regular imaging + check-ups = strong, healthy teeth for life 💪

💡 Are you overdue for your dental X-rays?

Because even the smallest details make the biggest difference 💖

✨ This seamless composite build-up on the Upper Lateral teeth was carefully crafted to enhance symmetry, balance, and create a natural smile. 

✨ A subtle transformation restoring both function and aesthetics, blending flawlessly with the surrounding teeth for a beautiful, natural result.

A Well done Dr. Pat for this beautiful finish! 👏🏼👏🏼

— 

📞 8899 6331

🌐 https://www.dentalatkeys.com.au

📧 info@dentalatkeys.com.au

🏡 211-215 Chapel Rd, Keysborough 3173

**Results may vary between individuals. The before and after images shown represent the real results of actual patients treated at Dental at Keys. These images are for educational purposes and do not constitute a guarantee of a particular outcome. Any surgical or invasive procedure carries risks. Before proceeding, you should seek a second opinion from an appropriately qualified health practitioner and have a consultation to discuss your specific needs and potential risks.

Say Goodbye to stubborn stains 🦷

✨ Presenting with brown and yellow staining on the Anterior teeth—often caused by early enamel defects or mild fluorosis.

✨ Our dentists used a conservative technique known as Enamel Microabrasion, which combines a gentle acid and abrasive to carefully polish away the discoloured enamel.

📌 How it works —
✅ Gently removes a thin layer of enamel
✅ Lifts the surface stains
✅ Softens harsh contrasts and improves surface smoothness.
✅ Reveals a smoother, more even finish.

✨ A simple, effective treatment that makes a big difference in how someone feels about their smile.

For more information, head to our blog post or contact us to discuss your options.

Chalky Teeth (Hypomineralisation of Teeth)



📞 8899 6331
🌐 https://www.dentalatkeys.com.au
📧 info@dentalatkeys.com.au
🏡 211-215 Chapel Rd, Keysborough 3173

**Results may vary between individuals. The before and after images shown represent the real results of actual patients treated at Dental at Keys. These images are for educational purposes and do not constitute a guarantee of a particular outcome. Any surgical or invasive procedure carries risks. Before proceeding, you should seek a second opinion from an appropriately qualified health practitioner and have a consultation to discuss your specific needs and potential risks.

Results that speak for themselves 😍😍

✨ We worked closely with our lovely patient through each stage, making small adjustments to reach our desired smile.

📌 Treatment highlights

✅ Orthodontic alignment using @invisalign_au to address over crowding and create a functional bite.

📌 The results

✅ A natural, aligned smile.

✅ Functional bite

✅ No crowding

✅ An overall confident SMILE 🥰

Interested in transforming your smile, we’d love to assist you.

📞 8899 6331

🌐 https://www.dentalatkeys.com.au

📧 info@dentalatkeys.com.au

🏡 211-215 Chapel Rd, Keysborough 3173

**Results may vary between individuals. The before and after images shown represent the real results of actual patients treated at Dental at Keys. These images are for educational purposes and do not constitute a guarantee of a particular outcome. Any surgical or invasive procedure carries risks. Before proceeding, you should seek a second opinion from an appropriately qualified health practitioner and have a consultation to discuss your specific needs and potential risks.

Transformation you can see—confidence you can feel!

Our patient presented with a few concerns, including:

🦷 A Narrow buccal shift

🦷 Midline misalignment &

🦷 Lower incisal show

✨ With a thorough Orthodontic plan and the use of Invisalign Aligners we fine-tuned every detail to create a smile they’re proud to show! 😁

✨ What ever your dental concerns are, it’s never too late to start your journey to a more confident smile.

With the right team & attention to detail, we can help you achieve your goals.

📞 8899 6331📧 info@dentalatkeys.com.au🌐 https://www.dentalatkeys.com.au/🏡 211-215 chapel Rd, Keysborough 3173

**Results may vary between individuals. The before and after images shown represent the real results of actual patients treated at Dental at Keys. These images are for educational purposes and do not constitute a guarantee of a particular outcome. Any surgical or invasive procedure carries risks. Before proceeding, you should seek a second opinion from an appropriately qualified health practitioner and have a consultation to discuss your specific needs and potential risks.

Transforming smiles, one step at a time! ❤️

📌 Our patient presented with:

➡️ Crossed-over upper incisors

➡️ Mild crowding

➡️ Lower posterior crossbite

➡️ Deep bite

With a tailored Invisalign treatment plan, these were the results:

✅ Improved crowding & Anterior cross over

✅ Improved Deep bite & Over-jet

✅ An improved smile arc

✨ Resulting in a beautifully aligned, functional, and confident smile.

This is your reminder that it’s never too late to invest in your smile! 😁

✨ Contact us to begin your transformation NOW!

📞 8899 6331

🌐 https://www.dentalatkeys.com.au

📧 info@dentalatkeys.com.au

🏡 211-215 Chapel Rd, Keysborough 3173

**Results may vary between individuals. The before and after images shown represent the real results of actual patients treated at Dental at Keys. These images are for educational purposes and do not constitute a guarantee of a particular outcome. Any surgical or invasive procedure carries risks. Before proceeding, you should seek a second opinion from an appropriately qualified health practitioner and have a consultation to discuss your specific needs and potential risks.

✨🦷 A Beautiful Smile, Restored with Care! 🦷✨

At Dental at Keys, we had the privilege of transforming this patient’s smile! She came to us with:
🔹 A missing lateral incisor
🔹 A peg lateral incisor

Our expert team created a stunning, natural result by:
💠 Using a custom dental veneer to reshape her peg lateral.
💠 Placing a Maryland bridge to seamlessly replace her missing tooth.

The outcome? A confident, radiant smile she can’t stop showing off! 😁💖

If you’re dreaming of a smile makeover, we’re here to help you achieve it. Book your consultation today and let’s make your dream smile a reality!

📞 Call us or DM us to get started!

**Results may vary between individuals. The before and after images shown represent the real results of actual patients treated at Dental at Keys. These images are for educational purposes and do not constitute a guarantee of a particular outcome. Any surgical or invasive procedure carries risks. Before proceeding, you should seek a second opinion from an appropriately qualified health practitioner and have a consultation to discuss your specific needs and potential risks.

Transforming smiles through precision and care! 🥰

✨ This Invisalign case involved a customised treatment plan to address crowding, improve the alignment and enhance the bite and functionality of our patients teeth.

✨ With a series of clear aligners, time & patience we achieved a beautifully aligned smile.

✨ The outcome was a confident smile and lasting results 🦷❤️

✨ Interested in reaching your smile goals? We’d love to be apart of your journey.

Contact us to begin your transformation NOW!

📞 8899 6331

🌐 https://www.dentalatkeys.com.au

📧 info@dentalatkeys.com.au

🏡 211-215 Chapel Rd, Keysborough 3173

**Results may vary between individuals. The before and after images shown represent the real results of actual patients treated at Dental at Keys. These images are for educational purposes and do not constitute a guarantee of a particular outcome. Any surgical or invasive procedure carries risks. Before proceeding, you should seek a second opinion from an appropriately qualified health practitioner and have a consultation to discuss your specific needs and potential risks.