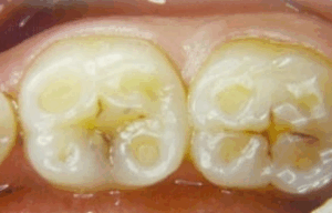
What is Enamel Erosion?
Enamel erosion, or tooth erosion, is a common problem that can occur at any age. The enamel surface of your tooth is dissolved and softened by contact with acids. These acids usually come from your stomach or from food and drinks.

What Causes Acid Wear?
- Gastric Acid (e.g. reflux, bulimia)
- Diet (lot of acidic drinks/foods)
Damage to the enamel from acid wear is irreversible and permanent so prevention is key!
What should I do?
You should identify the root cause of your acid wear as the first step.
- Reflux
- Talk to your GP about managing reflux.
- There can be link between sleep issues (including sleep apnoea) and reflux so get that checked as well.
- Diet
- Identify any obvious/hidden acids in your diet.
- Nearly every drink that isn’t water is acidic (e.g. fruit juice, soft drinks, sports drinks, alcohol).
- Excess citrus fruits (e.g. water with lemon).
- Only have water after working out at the gym/sports. You are already dehydrated so consuming acidic drinks / food (e.g. oranges at half time!) will create a lot more acid wear.
- Bulimia
- Please consult your GP/psychologist for help in managing this condition. There are always options available to overcome this. Feel free to talk to us as well for help.
Other tips to reduce the damage done
- Don’t brush straight after an acid attack (eating or drinking). You will soften your enamel if you brush it immediately after food.
- Use a soft toothbrush/electric toothbrush and brush gently around the worn areas.
- Drink water / rinse your mouth after having something acidic.
- Ensure you wear a nightguard (splint) if you are also grinding/clenching your teeth. This will exacerbate damage from acid wear.
What options do I have to fix damage already done by acid wear?
This will depend on the amount of damage done. Mild acid wear that is not getting worse can just be monitored with no treatment, however, moderate-severe cases may require full mouth rehabilitation in the forms of full coverage fillings or crowns. Best to talk to your dentist about your options.
Anything else I need to know?
Teeth which have acid wear are much more difficult to do fillings on because the quality of the enamel is poor. You are at a much higher risk of fillings not bonding and coming off/breaking.
